وفي هذا السياق، نجح فريق الشركة في تصنيع حشوات تجميلية ضوئية متقدّمة تعتمد على تقنية النانو، وهي منتجات أثبتت من حيث الخصائص الفنية والأداء السريري أنها تنتمي إلى فئة المواد المتطوّرة. وتشمل هذه المجموعة سلسلتي «سرافلو» و«ترايفلو»، اللتين تتمتّعان ببنية نانو–هجين ونانو–سيراميكية، بما يتيح استخدامهما في مختلف ترميمات الأسنان الخلفية والأمامية.
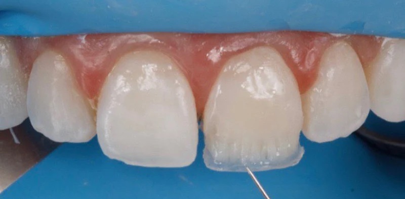
ويُعدّ «سرافلو» أحد المنتجات الأساسية للشركة؛ فهو كومبوزيت انسيابي صُمّم خصيصاً لإعادة بناء طبقات العاج (Dentin)، ويتميّز بلزوجة تمكّنه من النفاذ بسهولة إلى الحفر والفراغات الدقيقة داخل السن. ويسهم ذلك في ملء التجاويف بشكل كامل، والحدّ من احتمال بقاء فراغات أو حدوث تسرّب قد يؤدي إلى تسوّس ثانوي.
ويعتمد «سرافلو» على بنية نانو–سيراميكية تميّزه عن العديد من الكومبوزيتات التقليدية، وهي بنية تعزّز قوة الانحناء والمتانة الميكانيكية للمادة. ويبلغ محتوى الحشوة فيه 68 في المئة من الوزن، فيما يتراوح حجم الجزيئات بين 0.01 و3.5 ميكرومتر، ما يمنحه مزيجاً متوازناً من الانسيابية والقوة في آن واحد.
ومن أبرز ميزات هذا المنتج انخفاض انكماش البلمرة، وهي من المشكلات الشائعة في ترميمات الأسنان لما تسبّبه من تشققات في الهوامش أو انفصال عن جدار السن. ويسهم تقليل هذا الانكماش في رفع ثبات الترميم وتحسين استمراريته على المدى الطويل.
كما يوفّر استخدام تقنية اللون الذاتي ثباتاً لونيّاً عالياً للترميمات، ويمنحها مظهراً طبيعياً. وبعد اكتمال الترميم، يتمتّع سطحه بدرجة لافتة من اللمعان وقابلية ممتازة للتلميع.
وبالإضافة إلى «سرافلو»، تنتج الشركة سلسلة «ترايفلو» التي تضم ثلاثة أنواع مختلفة تُستخدم بحسب الحاجة واللزوجة المطلوبة: «ترايفلو–دي (D)»، و«ترايفلو–يو (U)»، و«ترايفلو–إي (E)».
ولا يُعدّ دخول هذه المجموعة المتقدّمة من النانو–كومبوزيتات إلى السوق المحلية مجرّد خطوة تجارية، بل تطوّراً مهماً في مسار توطين المعرفة المتقدمة في مجال مواد طب الأسنان. ففي ظلّ اعتماد العديد من العيادات على المواد المستوردة وتقلبات الأسعار العالمية، يسهم توفّر منتجات محلية عالية الجودة في تسهيل الوصول إلى مواد معيارية بأسعار أكثر استقراراً.
كما تسهم البنية النانوية لهذه المنتجات في رفع جودة العلاج؛ إذ يمنح صِغَر حجم الجزيئات وتجانسها المادة مقاومة ميكانيكية أعلى، وقدرة أفضل على المواءمة الضوئية، إضافة إلى متانة أكبر. وبذلك يرتفع عمر الترميمات وتنخفض الحاجة إلى العلاجات المتكررة.
ومن خلال اعتماد تقنية النانو وتطوير منتجات مبنية على الاحتياجات السريرية الفعلية لأطباء الأسنان، نجحت الشركة في تقديم مواد قادرة على منافسة العلامات التجارية العالمية المرموقة، ما يعكس تنامي قدرات الصنعات المعرفية في إيران على تلبية المتطلبات التخصّصية لقطاع الصحة.
ومن خلال اعتماد تقنية النانو وتطوير منتجات مبنية على الاحتياجات السريرية الفعلية لأطباء الأسنان، نجحت الشركة في تقديم مواد قادرة على منافسة العلامات التجارية العالمية المرموقة، ما يعكس تنامي قدرات الصناعات المعرفية في إيران على تلبية المتطلبات التخصّصية لقطاع الصحة.